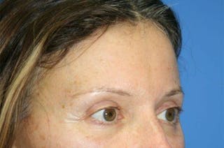
This patient is now one month following endoscopic forehead lift (endoscopic brow lift), and she is absolutely delighted with her results! The after photos highlight a noticeably more youthful and elevated brow position. Additionally, the excess skin drooping on her upper eyelids has been greatly reduced, without the need for an upper blepharoplasty (upper eyelid surgery).

























